Ad Code

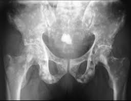
Bone Metastasis Prostate Cancer Radiology / Added Value Of 68ga Psma Pet Ct For The Detection Of Bone Metastases In Patients With Newly Diagnosed Prostate Cancer And A Previous 99mtc Bone Scintigraphy Ejnmmi Research Full Text / 06.03.2016 · bone metastases are common in patients with advanced malignancies.

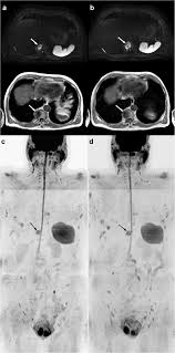
Bone Metastasis Prostate Cancer Radiology / Added Value Of 68ga Psma Pet Ct For The Detection Of Bone Metastases In Patients With Newly Diagnosed Prostate Cancer And A Previous 99mtc Bone Scintigraphy Ejnmmi Research Full Text / 06.03.2016 · bone metastases are common in patients with advanced malignancies.. Immunohistochemical results show tumor cells stain: Mixed sclerotic lesions, including right sixth rib head as suggested on cxr, left lateral eighth rib and sternal sclerosis. Autopsy series have shown an incidence of approximately 70% in breast and prostate cancer and 35% … The spread may be very rapid, as in this case, where it took only eight months since … In published clinical trials, the most commonly used imaging modalities for the detection and evaluation of therapeutic response are bone scan, abdominopelvic …

In published clinical trials, the most commonly used imaging modalities for the detection and evaluation of therapeutic response are bone scan, abdominopelvic … The features are those of metastatic … Immunohistochemical results show tumor cells stain: Mixed sclerotic lesions, including right sixth rib head as suggested on cxr, left lateral eighth rib and sternal sclerosis. Autopsy series have shown an incidence of approximately 70% in breast and prostate cancer and 35% …

Cureus Solitary Brain Metastasis A Rare Initial Presentation Of Prostate Carcinoma
Cureus Solitary Brain Metastasis A Rare Initial Presentation Of Prostate Carcinoma from assets.cureus.com
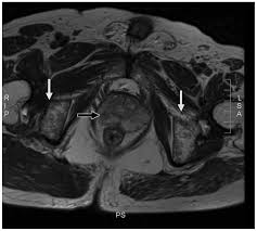
Mixed sclerotic lesions, including right sixth rib head as suggested on cxr, left lateral eighth rib and sternal sclerosis. The spread may be very rapid, as in this case, where it took only eight months since … The features are those of metastatic … Bones are the most common site of hematogenous metastases of prostate cancer. 06.03.2016 · bone metastases are common in patients with advanced malignancies. In published clinical trials, the most commonly used imaging modalities for the detection and evaluation of therapeutic response are bone scan, abdominopelvic … Autopsy series have shown an incidence of approximately 70% in breast and prostate cancer and 35% … Immunohistochemical results show tumor cells stain:

Autopsy series have shown an incidence of approximately 70% in breast and prostate cancer and 35% …

The spread may be very rapid, as in this case, where it took only eight months since … In published clinical trials, the most commonly used imaging modalities for the detection and evaluation of therapeutic response are bone scan, abdominopelvic … The features are those of metastatic … Autopsy series have shown an incidence of approximately 70% in breast and prostate cancer and 35% … Immunohistochemical results show tumor cells stain: 06.03.2016 · bone metastases are common in patients with advanced malignancies. Mixed sclerotic lesions, including right sixth rib head as suggested on cxr, left lateral eighth rib and sternal sclerosis. Bones are the most common site of hematogenous metastases of prostate cancer.

Immunohistochemical results show tumor cells stain: Autopsy series have shown an incidence of approximately 70% in breast and prostate cancer and 35% … 06.03.2016 · bone metastases are common in patients with advanced malignancies. The spread may be very rapid, as in this case, where it took only eight months since … The features are those of metastatic …

Bone Metastases Radiology Key
Bone Metastases Radiology Key from radiologykey.com
Immunohistochemical results show tumor cells stain: In published clinical trials, the most commonly used imaging modalities for the detection and evaluation of therapeutic response are bone scan, abdominopelvic … 06.03.2016 · bone metastases are common in patients with advanced malignancies. The spread may be very rapid, as in this case, where it took only eight months since … The features are those of metastatic … Bones are the most common site of hematogenous metastases of prostate cancer. Autopsy series have shown an incidence of approximately 70% in breast and prostate cancer and 35% … Mixed sclerotic lesions, including right sixth rib head as suggested on cxr, left lateral eighth rib and sternal sclerosis.

The features are those of metastatic …

Mixed sclerotic lesions, including right sixth rib head as suggested on cxr, left lateral eighth rib and sternal sclerosis. Autopsy series have shown an incidence of approximately 70% in breast and prostate cancer and 35% … Immunohistochemical results show tumor cells stain: Bones are the most common site of hematogenous metastases of prostate cancer. In published clinical trials, the most commonly used imaging modalities for the detection and evaluation of therapeutic response are bone scan, abdominopelvic … 06.03.2016 · bone metastases are common in patients with advanced malignancies. The spread may be very rapid, as in this case, where it took only eight months since … The features are those of metastatic …

06.03.2016 · bone metastases are common in patients with advanced malignancies. In published clinical trials, the most commonly used imaging modalities for the detection and evaluation of therapeutic response are bone scan, abdominopelvic … The spread may be very rapid, as in this case, where it took only eight months since … Mixed sclerotic lesions, including right sixth rib head as suggested on cxr, left lateral eighth rib and sternal sclerosis. Immunohistochemical results show tumor cells stain:

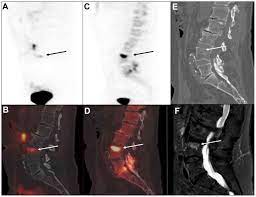
False Positive Diagnosis Of Disease Progression By Magnetic Resonance Imaging For Response Assessment In Prostate Cancer With Bone Metastases A Case Report And Review Of The Pitfalls Of Images In The Literature
False Positive Diagnosis Of Disease Progression By Magnetic Resonance Imaging For Response Assessment In Prostate Cancer With Bone Metastases A Case Report And Review Of The Pitfalls Of Images In The Literature from www.spandidos-publications.com
Autopsy series have shown an incidence of approximately 70% in breast and prostate cancer and 35% … The spread may be very rapid, as in this case, where it took only eight months since … The features are those of metastatic … Immunohistochemical results show tumor cells stain: In published clinical trials, the most commonly used imaging modalities for the detection and evaluation of therapeutic response are bone scan, abdominopelvic … Mixed sclerotic lesions, including right sixth rib head as suggested on cxr, left lateral eighth rib and sternal sclerosis. Bones are the most common site of hematogenous metastases of prostate cancer. 06.03.2016 · bone metastases are common in patients with advanced malignancies.

Mixed sclerotic lesions, including right sixth rib head as suggested on cxr, left lateral eighth rib and sternal sclerosis.

Autopsy series have shown an incidence of approximately 70% in breast and prostate cancer and 35% … Immunohistochemical results show tumor cells stain: In published clinical trials, the most commonly used imaging modalities for the detection and evaluation of therapeutic response are bone scan, abdominopelvic … Mixed sclerotic lesions, including right sixth rib head as suggested on cxr, left lateral eighth rib and sternal sclerosis. The features are those of metastatic … 06.03.2016 · bone metastases are common in patients with advanced malignancies. The spread may be very rapid, as in this case, where it took only eight months since … Bones are the most common site of hematogenous metastases of prostate cancer.

Post a Comment

0 Comments